misterwater®

WASSERSTOFFGERÄTE

Gelöster molekularer Wasserstoff ohne Zusätze

Sie haben bereits eine Wasserfilteranlage oder trinken extrem gering mineralisiertes Wasser, z.B. dampfdestilliertes oder Flaschenwasser (z.B.Lauretana, Plose, oder Black Forest)

Der nächste Schritt: Machen Sie aus Ihrem hochreinen Wasser ein Wasserstoff-
Powerwasser.

10 besondere Eigenschaften von Wasserstoffwasser

Wissenschaftliche Studien unterstützen die Vorteile von molekularem Wasserstoff*

*Quelle: MHF Molecular Hydrogen Foundation, MHI Molecular Hydrogen Institute; Diese Vorteile sind durch wissenschaftliche Studien unterstützt, und Tyler Le Baron vom Molecular Hydrogen Foundation hebt die Bedeutung von weiterer Forschung und sachlicher Information über die potenziellen Gesundheitsvorteile von molekularem Wasserstoff hervor

Verbesserte Zellregeneration durch Reduktion des zellfreien Raumes:

Jahrelange Untersuchungen von Prof. Dartsch wiesen eindeutig therapeutisch wirksame Effekte nach.

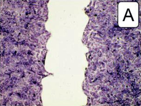
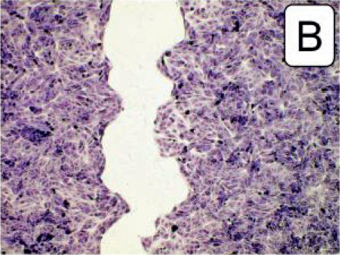
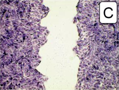
Untersuchung kultivierter Nierenzellen durch Prof. P. Dartsch** Ergebnis: schnellere Regeneration

Unbehandelte Kontrolle

Wasserstoffwasser misterwater®
erhrebliche Verbesserung

Stilles Mineralwasser

**“Mikroskopische Darstellung der förderlichen Wirkung des Wasserstoffwassers von misterwater auf die Zellregeneration kultivierter Nierenzellen innerhalb von 12 Stunden. (A) Unbehandelte Kontrolle. (B) Reduzierter zellfreier Raum und damit bessere Zellregeneration durch Verwendung von 40 Vol% Wasserstoffwasser im Kulturmedium. (C) Größerer zellfreier Raum und damit schlechtere Zellregeneration durch Verwendung von 40 Vol% Stillem Wasser (= Ausgangswasser) im Kulturmedium. Fixierte und angefärbte Präparate im Olympus IX-50 Inversmikroskop mit 10x Planachromat und Olympus E-10 bei 4 Megapixeln Auflösung im Durchlicht-Hellfeld-Verfahren.“ (Prof. P. Dartsch, 20.06.2021: Förderliche Wirkeffekte des Wasserstoffwassers der misterwaterGmbH, Untersuchungen mit kultivierten Nierenzellen; verwendet wurde Wasserstoffwasser aus dem misterwater® Lourdes Generator)

Hydrogen Power Generator (HPG)
Lourdes Generator
Hydrogen Maxi
Produktbild
Einbau
Untertisch
Auftisch
Auftisch
Maße B × H × T (cm)
10,0 x 15,5 x 41,0
34,5 x 31,6 x 16,0
6,7 x 23,5 x 6,7
Liegend unter
Sockelleiste möglich
Ja
Nein
Nein
Gewicht
3,5 kg
1,2 kg
0,5 kg
Strombetrieben
Ja
Ja
Akku
Haushaltsgröße
1–10 Personen
1–4 Personen
1–2 Personen
Elektrolyse-Verfahren
Direct Flow
Tank
Tank
Besonderheiten
Wasserstoff-Wasser direkt aus dem Hahn
Autisch, nicht gebunden an Filtersystem
Mobil nutzbar, passt in die Handtasche
Mit Flaschenwasser (<100 ppm) nutzbar
Nein
Ja
Ja
Entnahmeleistung
Ca. 0,5 Liter / Minute
Ca. 1,7 Liter Fassungsvermögen
Ca. 0,4 Liter Fassungsvermögen
Erhöhung Wasserstoff-Anteil (ppb)
800–1300*
800–1300*
Bis 5600*
Folgekosten
Keine (wartungsfrei)
Ca. 25 Euro / Jahr bei Wasserqualität ab 70 ppm
Keine
*Lassen Sie sich nicht täuschen: je höher die Werte desto schneller gasen sie aus. Laut Studien kann therapeutische Wirksamkeit bei geringeren Werten genauso wirksam sein.
Online bestellen
Kombinierbarkeit mit misterwater® Wasserfilteranlagen
PURIA (Auftisch)
Nein
Ja
Ja
Arctica (Untertisch)
Ja
Ja
Ja
Silver Star (Untertisch)
Ja
Ja
Ja
Futura (Untertisch)
Ja
Ja
Ja

Buchen Sie JETZT eine persönliche, individuelle Beratung

Die häufigsten Fragen zu Wasserstoffgeräten

Wie verändert sich durch die Anreicherung mit Wasserstoff der pH-Wert?
Der pH-Wert bleibt stabil und kann sich allenfalls leicht in Richtung basisch verschieben. Mit der Zugabe einer Messerspitze Natron kann ein basischer Wert erziehlt werden.

Wie lang dauert es, bis sich der Wasserstoff verflüchtigt?
Molekularer Wasserstoff ist flüchtig und entweicht relativ schnell je nach Lagerung – in offenen Gefäßen deutlich schneller als in geschlossenen.Deshalb sagen absolute Werte wenig aus.

Kann ich Wasserstoffwasser auch erwärmen?
Ja, das ist möglich – bis zur Erhitzung auf Körpertemperatur problemlos.

Kann ich ein Wasserstoffgerät auch mit ungefiltertem Leitungswasser nutzen?
Technisch ist das möglich, sinnvoll ist es jedoch nicht, da ungefiltertes Leitungswasser die Qualität des Wasserstoffwassers deutlich einschränkt.

Welche Garantien habe ich?
Es gilt die gesetzliche Gewährleistung von 2 Jahren.